22 yaş, kadın, ev hanımı, sağ el dominant2 yıl önce düşme sonrası sağ el bileği dorsal ağrısıFTR, istirahat ateli ve NSAID’e rağmen geçmemişParmak ekstansiyon testi +
27 yaş, erkek, makineci (tekstil)3 yıldır her iki el bileğinde fizik tedaviye rağmen geçmeyen ağrıSol el bileğinde SL eklem dorsalinde, anatomik enfiye çukuru üzerinde hassasiyet
37 yaş, erkek, mobilyacı, sağ el dominant2-3 yıldır mevcut olan sol el bileği ağrısıLunat dorsalinde hassasiyetEl bilek fleksiyonu 50*, ekstansiyonu 50* ve ağrısız
33 yaş, erkek, depo görevlisi, sağ el dominant1 yıldır sağ el bileği skafolunat eklem dorsalinde ağrıEl bilek ekstansiyonu 50* ve ağrılı, fleksiyon 60*Watson shift testi -
30 yaş, erkek, kalite kontrolörü, sağ el dominant2 ay önce düşme sonrası sağ el bileği dorsoulnar tarafta ağrıFovea test +, ECU tendonu üzerinde ağrı +
35 yaş, erkek, dekoratör, sağ el dominant1.5 ay önce sağ el üzerine düşmeEl bilek fleksiyon 30* ekstansiyon 45*Anatomik enfiye çukuru üzerinde hassasiyet
25 yaş, erkek, , sağ el dominant2.5 yıl önce burkulma sonrası sağ el bilek dorsal orta hatta mevcut ağrıFTR, istirahat ateli ve NSAID’e rağmen geçmemişWatson shift testi +, parmak ekstansiyon testi +
62 yaş, kadın, sağ el dominant10 yıldır her iki el başparmak CMC eklemde ağrıSağ tarafta grind test +
39 yaş, erkek, inşaat işçisi, sağ el dominant3 yıl önce inşaatta sağ el bileğinde burkulmaFovea test +
30 yaş, erkek, kumaş satıcısı, sağ el dominantSağ el bileği ulnarında zaman zaman ortaya çıkan ağrı2 yıl önce sağ el 5. metakarp kırığıWatson shift testi +, parmak ekstansiyon testi +
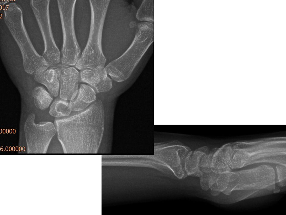
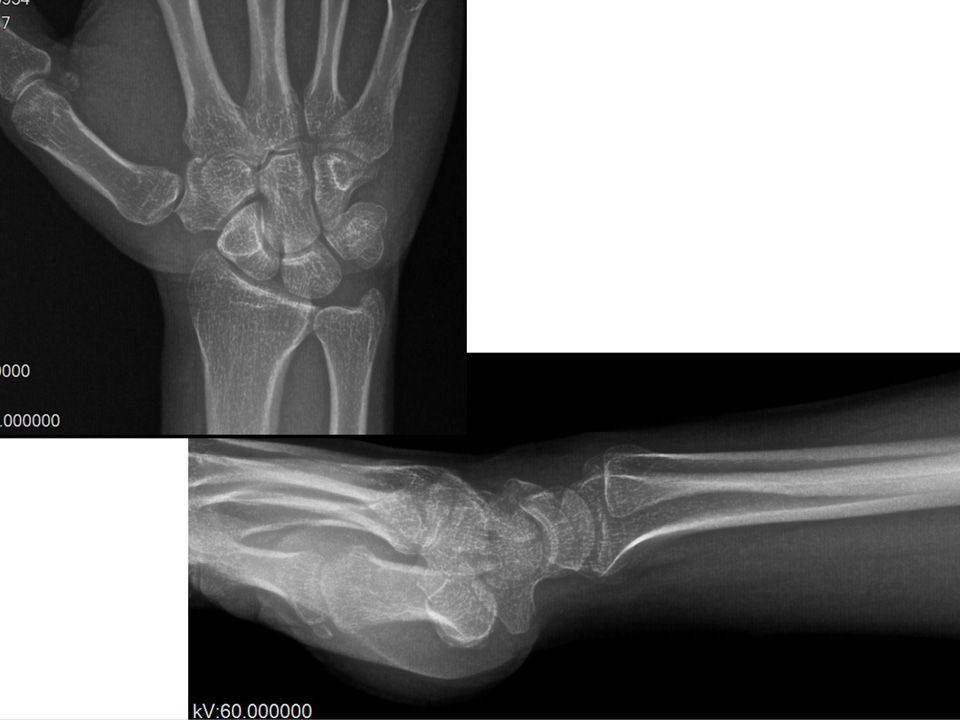
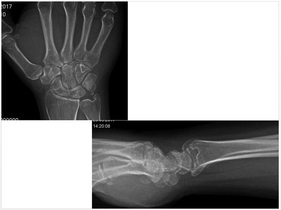
Case 11 - SL Ayrışma
© 2018 EWAS Turkey